歯磨き粉は毎日使う生活必需品だからこそ、使用感や効果はとても重要!
今回、約1ヵ月間ユーシモール(EUTHYMOL)の歯磨き粉「Whitening Purple Corrector」を使用し、実際の使用感や美白効果、正直なレビューをお届け!!※あくまで個人の感想になります。
「Whitening Purple Corrector」の基本的な商品概要・特徴
商品概要

商品名:EUTHYMOL(ユーシモール)
ホワイトニング パープルコレクター(Whitening Purple Corrector)
内容量:106g
価格目安:3,000円前後(Qoo10)
特徴:・紫色のペーストで、歯の黄ばみの補色効果による着色ケアをサポート
・ミント系の香りで爽やかな使用感
・歯の着色を落とし、再付着を予防する成分や口臭防止成分配合
・日常の歯磨きとして使いやすいホワイトニングタイプ
特徴※個人の感想です
まずは、使用して感じた商品の特徴を簡単にまとめます。
- 強めのミントの香り
- 使用直後はスッキリ、後からピリッとした辛さを感じる味
- 泡立ちは柔らかく、口当たりが良い
- 粒子が非常に細かく、歯の表面を丁寧に磨けている感覚
- 歯磨き後は口の中がスースーして、強い爽快感が残る
ミント感がしっかりしていて、爽快感を重視する人には向いている印象です。
ただし、辛みが苦手な人や、歯が弱い人には刺激が強いかなとも感じました。

歯磨き後の使用感
実際に使用して最も印象に残ったのは、歯磨き後に口の中に違和感がほとんど残らない点です。
ミントの香り自体は強めですが、泡が柔らかく、刺激が過度に残らないと感じました。
一般的な歯磨き粉の中には、磨き終わった後も独特の味や刺激が残り、不快に感じるものもありますが、こちらの歯磨き粉はそういった不快感が少なく、自然ですっきりとした仕上がりでした。
そのため、
- 朝起きてすぐの歯磨き
- 就寝前のリラックスした時間帯
どちらのタイミングでも、安心して使える歯磨き粉だと感じました。
実際に使ってみた美白効果について
こちらの歯磨き粉はいわゆる「一度で白くなる」即効型ではなく、継続使用によって少しずつ印象が変わっていくタイプだと感じました。
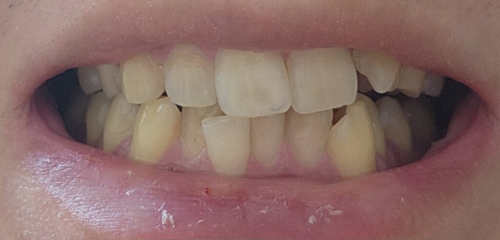
今回は、使用経過を客観的に確認するため、初日・3日目・1週間後・1カ月後の写真を撮影し、比較しています。
初日(使用開始時)
初日は、全体的に歯の色がやや黄色寄りで、特に下の歯や犬歯周辺に着色が目立ちます。
表面の質感もややマットで、日常的な着色が蓄積している印象があります。
この時点では、使用直後に見た目が変わるような即効性は感じられませんでした。

3日目
3日目の写真では、色味そのものに大きな変化はありませんが、
歯の表面が均一になり、ツヤが少し出てきたように感じます。
肉眼では分かりにくいものの、写真で比較すると、表面のくすみがわずかに軽減している印象があります。

1週間後
1週間継続した写真では、初日と比べて歯全体のトーンがやや明るくなったように感じられます。
特に前歯の中央部分は、黄色みが抑えられ、色ムラが目立ちにくくなっています。
劇的な変化ではないですが、「使い続けている効果」が写真からも読み取れる印象があります。

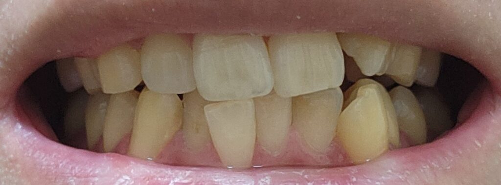
1ヶ月後
1カ月後の写真では、最も変化が分かりやすくなりました。
歯の表面がなめらかで均一に見え、着色が全体的に薄くなっている印象があります。
初日の写真と並べると、歯の色味が自然に整い、全体的に白くなっていると感じました。

比較して感じた総評
- 即効性はないが、継続使用で変化が写真でも確認できる
- 歯の表面がなめらかになり、着色が目立ちにくくなる
- 白く「する」というより、本来の歯の色に近づける印象
これらの点から、こちらの歯磨き粉は、
日々の歯磨きで無理なく美白ケアを続けたい方に向いている歯磨き粉だと感じました。
「短期間で真っ白にしたい人」よりも、
「毎日のケアで少しずつ口元の印象を整えたい人」に適した商品だと感じました。
まとめ

ユーシモール「Whitening Purple Corrector」は、以下のような方に特におすすめです。
- ミント感が強く、爽快感のある歯磨き粉が好きな方
- 即効性よりも、継続的な美白ケアを重視したい方
- 歯磨き後の不快な刺激が苦手な方
歯磨き後の違和感が少なく、毎日のオーラルケアを快適に続けられる点が非常に魅力的な商品でした。
今後も、日常のオーラルケアの一環として、継続して使用していきたい歯磨き粉です。
※あくまで個人の感想です。効果には個人差があり、今回感じたものと同じ効果を得られることを保証するものではありません。


